近日,我院骨伤二科团队在孟和主任医师的带领下,成功为一名91岁高龄女性患者实施“股骨近端防旋髓内钉(PFNA)微创内固定术”,术后患者恢复良好,现已可借助助行器下床活动。该手术的顺利完成,标志着我院在高龄患者骨科微创治疗领域迈入新台阶。
高龄骨折的“隐形杀手”
患者陶某某因在家中不慎跌倒导致右股骨粗隆间骨折,被紧急送至我院。髋部骨折被称为“人生最后一次骨折”,高龄患者常合并心肺功能减退、骨质疏松等基础疾病,传统手术风险极高,而PFNA技术凭借创伤小、固定牢、恢复快的特点,成为此类患者的首选治疗方案。

患者术前CT重建
多学科协作攻坚克难
面对患者超高龄、中度贫血及慢性支气管炎等复杂合并症,骨科联合麻醉科、内科开展多学科会诊(MDT),量身定制手术方案。手术仅耗时40分钟,出血量不足50ml,最大限度降低了手术风险。

术中团队精密配合
快速康复显成效
术后第2天,患者在孟和主任医师指导下开始床旁坐立训练,第3天即实现助行器辅助站立。家属激动地表示:“没想到这么大年纪还能重新站起来,医生们真是创造了奇迹!”

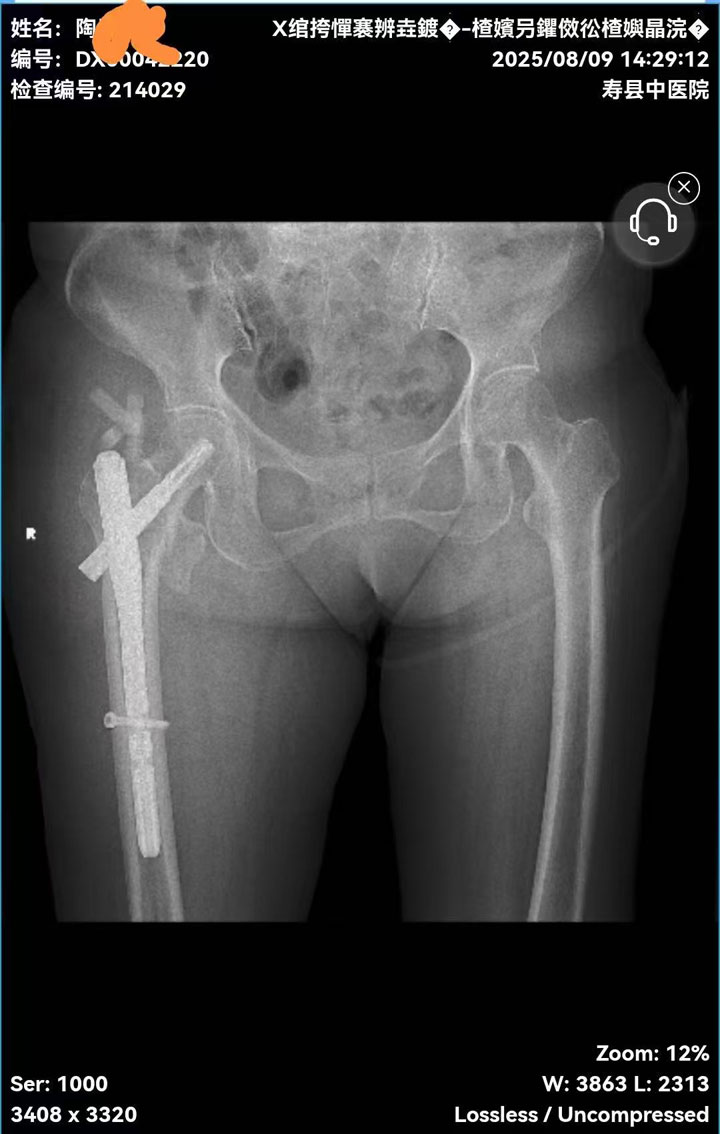
术后固定效果满意
骨科医师提醒:防跌倒重于治疗。老年人应注重钙质补充、居家防滑,及适度运动,一旦发生跌倒,需立即制动并拨打120,避免盲目搬动造成二次伤害。
供稿:骨伤二科余才升
编辑:宣传科
初审:赵 勇
终审:曾德兵
医院电话:0554-4022581
医院地址:寿县寿春镇寿六南路
交通指引:寿县内乘1路、2路、3路、102路以及寿县高铁站公交夜间专线至中医院站下。6路、109路至中医院南门站下即到。
Copyright © 2025寿县中医医院
微信小程序
微信服务号
微信订阅号
微信视频号